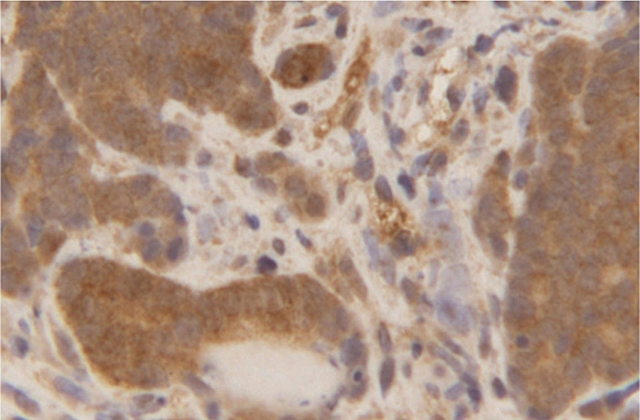
These human prostate cancer metastatic lesions have been stained (brown) to indicate the presence of myosin IC isoform A, a biomarker of metastatic prostate cancer. Researchers at UB and at Moscow State University are collaborating to determine how to develop a diagnostic test for it.
Release Date: April 1, 2019 This content is archived.
BUFFALO, N.Y. — Prostate cancer can grow slowly and pose little threat to patients, or it can metastasize quickly, causing severe pain and death. But as of now, it’s nearly impossible to determine which type of cancer a patient has during the early stages.
Now, University at Buffalo researchers and scientists from Moscow State University are collaborating to determine how a biomarker for metastatic prostate cancer might best be detected. Prostate cancer is among the most common causes of cancer-related morbidity in industrialized countries.
The American scientists are being funded by a $380,000 grant from the National Cancer Institute as part of the U.S-Russia Bilateral Collaborative Research Partnership, a program that aims to foster partnerships at the basic science, translational and clinical levels by coordinating the two countries’ research funding.
Late last year, the two groups authored a paper in PeerJ that demonstrated how a biomarker called myosin IC isoform A might be used to identify metastatic prostate cancer. Previously, the UB researchers had proven that this biomarker, expressed only in metastatic prostate cancer cells, is necessary in order for cancer cells to metastasize, that is, invade other tissues. They also reported that it is secreted in both blood and urine, characteristics that make it a desirable biomarker.
“The big challenge in prostate cancer these days is to have a biomarker that will let the physician know whether to pursue watchful waiting because it’s not metastatic, or to recommend radical treatment in order to shrink the tumor because it is likely to become metastatic,” explained Wilma A. Hofmann, PhD, associate professor in the Department of Physiology and Biophysics in the Jacobs School of Medicine and Biomedical Sciences at UB and co-author of the PeerJ paper.
“The critical issue is to find a prostate cancer biomarker that is reliable and sensitive, especially with low percentages of metastatic cancer cells, indicating the cancer progression is at an early stage,” she said.
The current research involves studying metastatic prostate cancer tumors in mice that express myosin and (non-metastatic) tumors that don’t.
“The question is, is there a time after the formation of a primary (non-metastatic tumor) when the cells start changing and become metastatic?” asked Hofmann.
Currently, the research is focused on analyzing different proteins that sit on the surface of cancer cells.
Hofmann said that her Russian collaborators, led by Ivan A. Vorobjev and colleagues from Moscow State University, have developed a method that allows them to sort the cells in a prostate tumor.
“They will stain the cells' surfaces, using a number of labeled antibodies, and sort the cells according to color,” she explained. “Then we will analyze the sorted cells for our biomarker. This combination of approaches is expected to lead to a more sensitive prognosis for the tumor metastasis, and may also clarify the cellular-level mechanism that allows the marker protein to drive metastasis.”
Ellen Goldbaum
News Content Manager
Medicine
Tel: 716-645-4605
goldbaum@buffalo.edu
