Release Date: January 9, 2012 This content is archived.
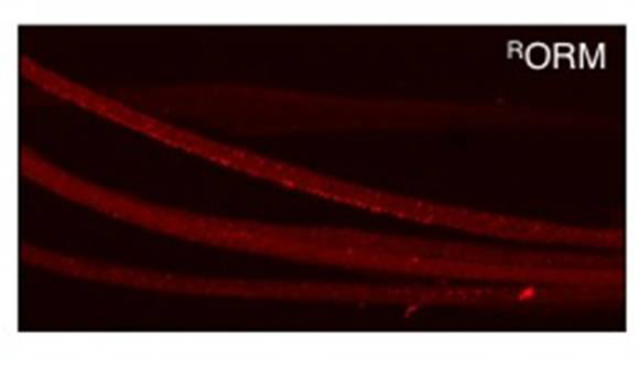
BUFFALO, N.Y. -- In the images of fruit flies, clusters of neurons are all lit up, forming a brightly glowing network of highways within the brain.
It's exactly what University at Buffalo researcher Shermali Gunawardena was hoping to see: It meant that ORMOSIL, a novel class of nanoparticles, had successfully penetrated the insects' brains. And even after long-term exposure, the cells and the flies themselves remained unharmed.
The particles, which are tagged with fluorescent proteins, hold promise as a potential vehicle for drug delivery.
Each particle is a vessel, containing cavities that scientists could potentially fill with helpful chemical compounds or gene therapies to send to different parts of the human body. Gunawardena is particularly interested in using ORMOSIL -- organically modified silica -- to target problems within neurons that may be related to neurodegenerative disorders including Alzheimer's disease.
The recent study on fruit flies is a step toward making this happen, demonstrating that long-term exposure to ORMOSIL, through breathing and feeding, did not injure the animals.
The research appeared in the journal PLoS ONE on Jan. 3.
"We saw that after feeding these nanoparticles in the fruit fly larvae, the ORMOSIL was going mainly into the guts and skin. But over time, in adult flies, you could see it in the brain. These results are really fascinating because these particles do not show any toxic effects on the whole organism or the neuronal cells," said Gunawardena, an assistant professor of biological sciences and a researcher in UB's Institute for Lasers, Photonics and Biophotonics.
The ORMOSIL particles she is investigating are a unique variety crafted by a research group led by Paras N. Prasad, the UB institute's executive director. Each particle contains cavities that can hold drugs, which can be released when the particles are exposed to light.
Besides Gunawardena and Prasad, co-authors on the study include Farda Barandeh, Phuong-Lan Nguyen, Rajiv Kumar, Gary J. Iacobucci, Michelle L. Kuznicki, Andrew Kosterman and Earl J. Bergey, all from UB.
Gunawardena is an expert in axonal transport. This involves the movement of motor proteins along neurons' thread-like axon. These molecular motors, called kinesins and dyneins, carry "cargo" including vital proteins to and from the synapse and cell body of neurons.
In this neuronal highway system, one problem that can occur is an axonal blockage, which resembles a traffic jam in neurons. Proteins aggregate in a clump along the axon. (For videos showing both a normal axonal pathway and a blocked pathway, visit http://biology.buffalo.edu/Faculty/Gunawardena/gunawardena_lab/research.html.
Researchers don't know whether these obstructions contribute to disorders such as Alzheimer's or Parkinson's diseases, which are characterized by unusual build-ups of proteins called amyloids and Lewy bodies.
But the amyloid precursor protein involved in Alzheimer's disease has been shown to have a role in axonal transport, and if axonal obstructions do turn out to be an early indicator for neurodegeneration seen in Alzheimer's disease, eliminating blockages could help prevent or delay the onset of disease.
That's where ORMOSIL comes in: Gunawardena hopes to use these nanoparticles to target drugs to protein jams along axons, breaking up the accumulations.
Success, if possible, is still a long way off. But the potential benefit is great. Gunawardena calls the research a "high-risk, high-rewards" endeavor.
The next step is for her team to see if they can find a way to force the ORMOSIL to latch onto motor proteins. (The nanoparticles, on their own, do not move along axons.)
The University at Buffalo is a premier research-intensive public university, a flagship institution in the State University of New York system and its largest and most comprehensive campus. UB's more than 28,000 students pursue their academic interests through more than 300 undergraduate, graduate and professional degree programs. Founded in 1846, the University at Buffalo is a member of the Association of American Universities.
Charlotte Hsu is a former staff writer in University Communications. To contact UB's media relations staff, email ub-news@buffalo.edu or visit our list of current university media contacts.